おかげさまで開設25周年MOONTELICT.COM 創業祭

MOONTELICT.COM

詳しくはこちら
マイストア マイストア 変更
  • 即日配送
  • 広告
  • 取置可能
  • 店頭受取

HOT ! 洋楽 MALARIA! EMOTION Malaria! / Emotion [YX-7323-AX] | MOKUME RECORDS

※MOONTELICT.COM 限定モデル
YouTuberの皆様に商品の使い心地などをご紹介いただいております!
紹介動画はこちら

ネット販売
価格(税込)

6675

  • コメリカード番号登録、コメリカードでお支払いで
    コメリポイント : 0ポイント獲得

コメリポイントについて

購入個数を減らす
購入個数を増やす

お店で受け取る お店で受け取る
(送料無料)

受け取り店舗:

お店を選ぶ

近くの店舗を確認する

納期目安:

13時までに注文→17時までにご用意

17時までに注文→翌朝までにご用意

受け取り方法・送料について

カートに入れる

配送する 配送する

納期目安:

2025.10.18 23:11頃のお届け予定です。

決済方法が、クレジット、代金引換の場合に限ります。その他の決済方法の場合はこちらをご確認ください。

※土・日・祝日の注文の場合や在庫状況によって、商品のお届けにお時間をいただく場合がございます。

即日出荷条件について

受け取り方法・送料について

カートに入れる

欲しいものリストに追加

欲しいものリストに追加されました

洋楽 MALARIA! EMOTION Malaria! / Emotion [YX-7323-AX] | MOKUME RECORDSの詳細情報

Malaria! / Emotion [YX-7323-AX] | MOKUME RECORDS。Mitochondrial Disease Sticker, Mitochondrial Disease。Plasmodium falciparum malaria: cerebral malaria | Wellcome。Malaria!の1982年のアルバム『Emotion』は、重いドラムとベースを基調としたエクスペリメンタルなアートロック作品であり、高評価を得ている人気盤。Malaria! – Compiled 2.0 / 1981-84 • Full Emotion – 2 x Vinyl。西ドイツ出身。洋楽LP15枚 ほぼ帯付き JEFF BECK TRAFFIC EAGLES他。82年リリース日本盤。稀少盤Squarepusher Big Loada オリジナル。廃盤。超限定盤! Uptown Funk Empire - The Remixes。入手困難解説書に経年劣化による焼け有り。Alice In Chains MTV Unplugged レコード 超希少。盤の状態良好。洋楽 Jack McDuff-To Seek A New BLUE NOTE。- タイトル: MALARIA! EMOTION- ジャンル: エクスペリエンス、ニューウェイヴ- 付属品: 帯付き、解説書- アーティスト: MALARIA!- フォーマット: レコードご覧いただきありがとうございます。洋楽 Jay-Z Linkin Park Collision Course LP。
  • Malaria! / Emotion [YX-7323-AX] | MOKUME RECORDS
  • Mitochondrial Disease Sticker, Mitochondrial Disease
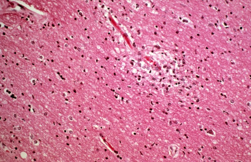
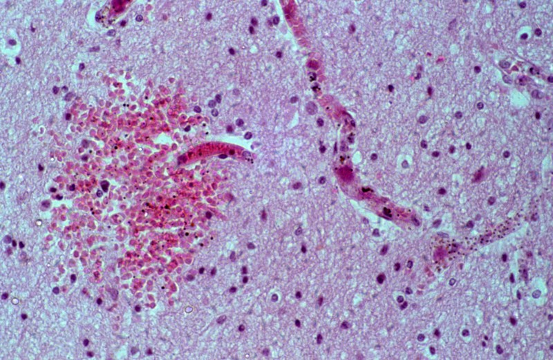
  • Plasmodium falciparum malaria: cerebral malaria | Wellcome
  • Malaria! – Compiled 2.0 / 1981-84 • Full Emotion – 2 x Vinyl

同じカテゴリの 商品を探す

ベストセラーランキングです

このカテゴリをもっと見る

この商品を見た人はこんな商品も見ています

近くの売り場の商品

このカテゴリをもっと見る

カスタマーレビュー

オススメ度  4点

現在、2960件のレビューが投稿されています。